Background
The shoulder is an important joint for many of the activities of your upper extremity. Pain free motion of the shoulder is key in allowing us to move our arm, elbow, and hand freely in all directions to accomplish day-to-day needs. Unfortunately as with any joint, shoulders are also susceptible to cartilage wear and degeneration resulting in osteoarthritis. When cartilage deteriorates leaving exposed bone inside of the shoulder joint, the exposed bone surface responds by increasing release of inflammatory signals within the shoulder. The lining of the shoulder joint responds to these signals by becoming inflamed. This can cause swelling and increased pain and stiffness in the shoulder.. The bones of the shoulder may also respond to the chronic inflammation with extra bone growth called osteophytes or bone spurs, this can lead to further inflammation and pain.
Diagnosis
When someone has a history of increasing pain in the shoulder it is important to evaluate the shoulder by physical exam as well as imaging studies (such as X-rays and in some cases MRI or CT scan). We take time to fully examine the shoulder and look for range-of-motion restrictions, areas of tenderness around the shoulder, and the stability of shoulder. We use X-rays to evaluate the alignment of your shoulder joint, look for fractures, and to assess the overall health of your shoulder. While not directly visualized, x-rays can also give us insight into the overall health of the cartilage in the shoulder. On occasion we may also require an MRI to evaluate the cartilage surfaces in the shoulder, or a CT scan to assess the bone structure of the shoulder joint. If the space between the bones of the shoulder is getting very small, it can indicate that there is significant cartilage wear occurring.




Treatment
In the early arthritic shoulder, treatment may initially consist of activity modification (i.e. don’t do things that irritate the shoulder), anti-inflammatory treatment with over the counter medications such as acetaminophen, ibuprofen, or naproxen, or a combination of both. As osteoarthritis worsens, injection of a more potent anti-inflammatory such as a corticosteroid directly into the shoulder may be indicated. This allows the anti-inflammatory medication to be focused into the the shoulder and can provide very good and long lasting pain relief.
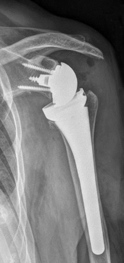
When conservative measures are no longer providing adequate pain relief, a surgical options may be explored. Depending on the overall functional health of your shoulder, your surgeon may recommend a total or reverse total shoulder. A total shoulder is often suggested when there is osteoarthritis in the shoulder and all of the tendons that make up the rotator cuff are intact and functioning properly. The rotator cuff provides added stability to the shoulder joint. When you do not have an intact and functioning rotator cuff, a reverse total shoulder may be recommended. This type of replacement is designed to provide the positional stability that your shoulder needs to have pain-free movement.
Regardless of which treatment option is pursued, we want you to have a shoulder with full range-of-motion and good neuromuscular control. Occasionally you may be asked to go to physical therapy prior to any surgical intervention. Therapy prior to surgery can help address strength and mobility issues that may prevent you from achieving your goals for full activity after surgery. In addition you can become comfortable with the types of exercises you will be required to perform in order to fully rehabilitate after surgery.
