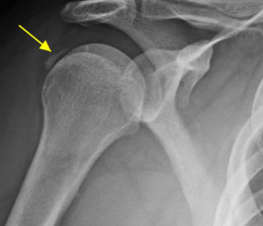
Background
Calcific tendonitis is a condition in which calcific deposits accumulate in the rotator cuff tendon near its attachment site causing tendon degeneration. We do not know why this occurs. It most frequently develops in women around the ages of 40-60 years old, but can develop in men as well.

Presentation & Treatment
Rotator cuff tear with pain and weakness on exam. There may be catching with overhead movements. This condition is best seen with x-rays of the shoulder. Sometimes an MRI is ordered to rule out a rotator cuff tear.

Initial treatment can begin with activity modifications, anti-inflammatories, steroid injections, and therapy. If conservative therapies fail, then consideration of surgical intervention with shoulder arthroscopy and debridement from the cuff tendon is given. Sometimes, the amount of cuff tendon tissue lost with debridement of the tendon to remove the calcification requires a subsequent rotator cuff repair.
