Jared Lee, M.D.
Shoulders, Knees, Hips, and Sports Medicine

Total Knee Replacement

You and your surgeon have decided that a knee replacement is the best treatment for you. This is a guideline about what to expect prior to and during your surgical experience. Not everything is included in this packet. Always feel free to ask questions about your surgery and hospital stay.

Here is a PowerPoint that best explains what will happen for a total joint replacement:

Preoperative risk assessment

You will be asked to see your primary care provider or a hospitalist (internal medicine specialist who works in the hospital) prior to your surgery. This is sometimes referred to as preoperative clearance. This is a necessary step to ensure that you are healthy enough to withstand the stress of surgery. This step is often facilitated by our surgery scheduler and must be done within 30 days of your anticipated surgery. Sometimes other health problems are discovered and you may need further evaluation by specialists prior to having your surgery scheduled. Sometimes this may require further studies or lab tests that may not be covered by your insurance/Medicare plan.

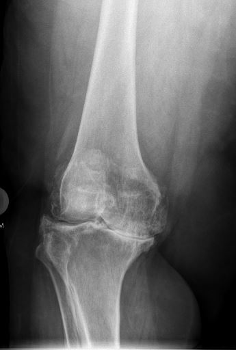
An x-ray of a total knee replacement before surgery
Before Total Knee Replacement
An x-ray of after an after total knee replacement
After Total Knee Replacement

Exercise/activity

Before your surgery we suggest that if you are healthy enough, you should begin or continue with an exercise program. This can be initiated through a physical therapy clinic or through a home-exercise program. Walking daily is an easy way to get some physical activity prior to surgery. The more you are able to do before surgery, the better off you will be following surgery. A therapist will be able to perform a functional assessment and identify any preoperative impairments.

Scheduling

The surgical facility will contact you and review your medical history, medications, and allergies 3-5 days prior to surgery. They will confirm your arrival time and make sure that you understand where to go on your day of surgery.

Infection prevention

You may or may not be given a preoperative surgical soap to use over the 3 day period before surgery. If you have a history of severe infection or MRSA please make sure the surgeon or physician assistant is aware of this prior to surgery as it may be necessary to take additional steps to help prevent a postoperative infection.

Eating and Drinking

It is imperative that you DO NOT EAT OR DRINK ANYTHING AFTER MIDNIGHT PRIOR TO YOUR SURGERY. Even if you have a case scheduled later in the day, sometimes our surgical teams will run ahead of schedule and you will be called to come to the surgical facility early, if you have eaten since midnight this will delay your surgical starting time by up to 8 hours after the time you last ate or drank.

© 2026 Jared Lee, MD. All Rights Reserved.
linkedin facebook pinterest youtube rss twitter instagram facebook-blank rss-blank linkedin-blank pinterest youtube twitter instagram